Wessen Nase bekommt sie denn?

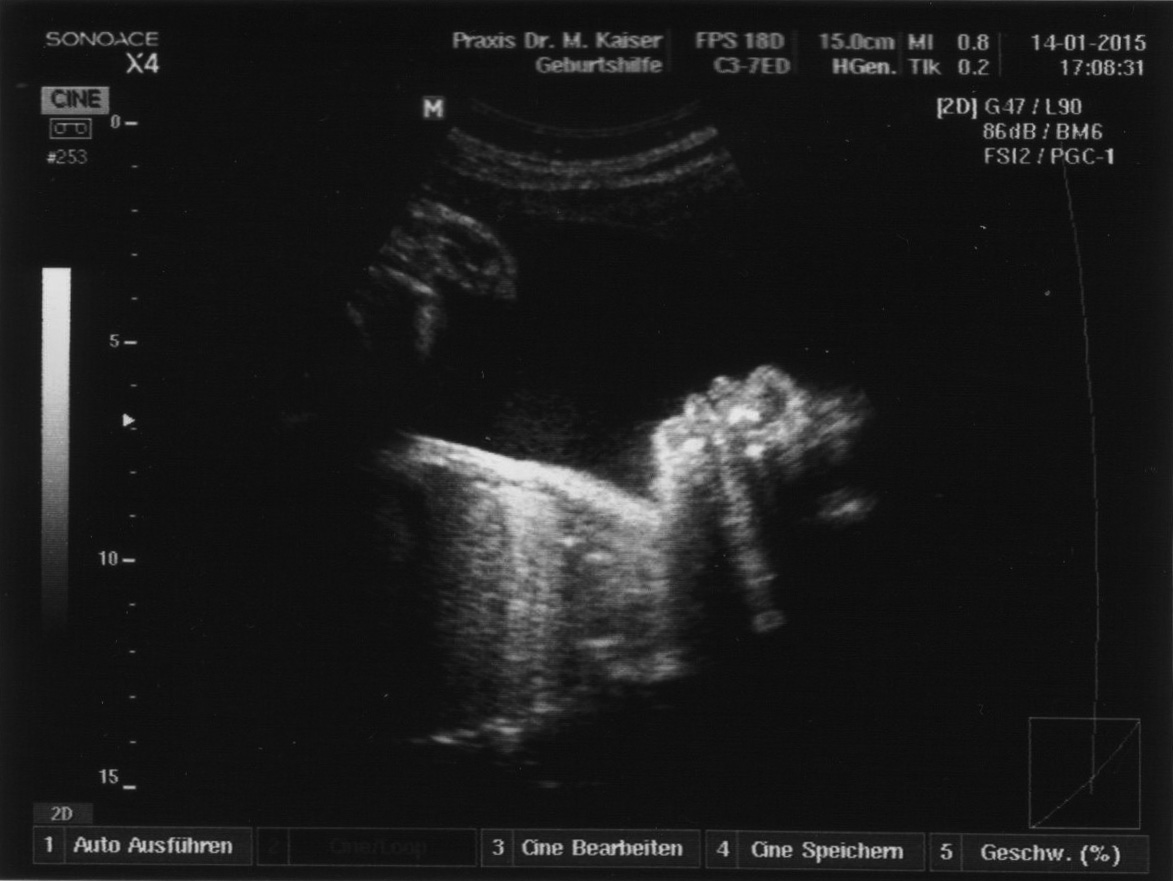
Auf dem neuesten Ultraschallbild kann man Lippen und Nase erkennen. Jetzt stellen wir uns natürlich die Frage, wessen Nase bekommt sie denn?

auf dem Ultraschallbild erkennt man oben rechts das Gesicht

auf dem Ultraschallbild erkennt man oben rechts das Gesicht

Schreibe einen Kommentar

Deine E-Mail-Adresse wird nicht veröffentlicht. Erforderliche Felder sind mit * markiert

Diese Website verwendet Akismet, um Spam zu reduzieren. Erfahre, wie deine Kommentardaten verarbeitet werden.